Temporal Arteritis
Eye Care > Diseases of the Eye > Temporal Arteritis
What is Temporal Arteritis?
(Giant Cell Arteritis)
Temporal arteritis, also known as giant cell arteritis, is an inflammatory condition affecting the medium-sized blood vessels that supply the head, eyes, and optic nerves. The disease usually affects those over 60 years of age and causes the vessels in the temple and scalp to become swollen and tender. Women are approximately 4 times more likely to suffer from this disease then men.
The major concern with temporal arteritis is vision loss, although if allowed to progress, it may affect arteries in other areas of the body. This condition is potentially vision threatening, however, if treated promptly, permanent vision loss can be prevented. Vision is threatened when the inflamed arteries obstruct blood flow to the eyes and optic nerves. If untreated, permanent vision loss can occur from oxygen deprivation to the retina and optic nerve.
Signs and Symptoms
Patients with temporal arteritis usually notice visual symptoms in one eye at first, but as many as 50% may notice symptoms in the fellow eye within days if the condition is untreated.
- Headache
- Tenderness of scalp (combing hair may be painful)
- Pain in temple area (may be excruciating)
- Transient blurred vision
- Loss of appetite
- Fever
- Fatigue
- Depression
- Drooping lid
- Double vision
- Sore neck
- Jaw soreness, especially when chewing food
Detection and Diagnosis
When temporal arteritis is suspected, the doctor will order blood tests including an erythrocyte (red blood cell) sedimentation rate (ESR) and C-reactive protein test. The ESR test measures the time it takes for the erythrocytes to collect in the bottom of a test tube. The sediment layer of erythrocytes is measured in millimeters and recorded. An abnormally high ESR is indicative of active inflammation.
C-reactive protein is produced in the liver. This protein is released when the body responds to an injury or any other event that signals inflammation. C-reactive protein is measured with a blood test.
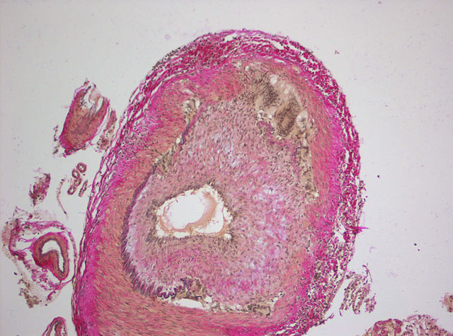
A biopsy of the temporal artery is usually recommended. The procedure is performed with local anaesthesia. A small section of the temporal artery is removed and examined under magnification for inflammatory cells. This test allows doctors to definitively diagnose temporal arteritis.
Treatment
The eye care practitioner often works in conjunction with the patient’s physician to treat this disease. The primary treatment for the disease is oral steroid medication to reduce the inflammatory process. Most patients notice an improvement in their symptoms within several days. In some cases, a long-term maintenance dosage of the steroid is required.
https://commons.wikimedia.org/w/index.php?curid=5942923
