Iritis

Iritis

Eye Care > Diseases of the Eye > Iritis

What is Iritis?

Iritis is an inflammatory problem of the iris, the coloured part of the eye. It often occurs for unknown reasons, but it may be linked to certain diseases affecting the body, infections, previous eye surgery, or injury.

Iritis may affect one or both eyes. It is sometimes a chronic, recurring condition.

Signs and Symptoms

  • Red eye
  • Light sensitivity
  • Pain that may range from aching or soreness to intense discomfort
  • Small pupil
  • Tearing

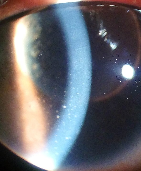
Detection and Diagnosis

The eye care practitioner can detect iritis during an examination of the eye with a slit lamp microscope. Among other things, the eye care practitioner will look for microscopic white cells floating inside the eye which are a sign of inflammation. The eye care practitioner will also carefully examine inside the eye to determine if other parts of the eye are involved.

Treatment

Steroids and anti-inflammatory drops are prescribed to reduce inflammation in the eye. Dilating drops also make the eye more comfortable by relaxing the muscle that constricts the pupil.

Iritis must be treated to avoid permanent problems such as scarring inside the eye.

Image by Imrankabirhossain – Own work, CC BY-SA 4.0,
https://commons.wikimedia.org/w/index.php?curid=59526676